La caries dental es el trastorno de salud oral crónico más común en niños (as) en todo el mundo, pues su aparición está directamente relacionada no solo con deficiencias en la rutina de higiene oral, sino también con una alimentación alta en azúcares, entre otros.
Cuando esta no es tratada a tiempo, puede causar daños irreparables en los dientes de leche y permanentes, e incluso poner en riesgo la vida de tu hijo (a), pues cuando la infección está muy avanzada y se manifiesta a través de un absceso dental, se corre el riesgo de generarse una septicemia, es decir, que la infección se extienda hacia otras partes del cuerpo.

*Absceso dental no tratado a tiempo. Foto tomada de Revista de Pediatría de Atención Primaria*
La herramienta más poderosa para proteger los dientes de tu hijo (a) de la caries dental son los buenos hábitos de higiene oral en casa y una alimentación balanceada; el uso de la seda dental, una dieta baja en azúcares, cepillar los dientes mínimo dos veces al día con crema dental (siendo la de la noche la más importante), además de visitas regulares al odontopediatra.
Una forma de detener el avance de la caries cuando se encuentra en su fase inicial (mancha blanca) y volver los dientes de tu hijo (a) más resistes al ataque de los ácidos de las bacterias que producen la caries, desde la odontopediatría, son las aplicaciones periódicas de flúor.
¿Qué es el flúor?
El flúor es un elemento químico, no metal, perteneciente al grupo de los halógenos, número 9 de la tabla periódica (F) y es el elemento más electronegativo de ella, esto es importante, pues las paredes de las bacterias que generan las caries tienen carga negativa y recuerda que, negativo y negativo se repele.
Presentaciones del flúor de uso dental
1. Gel de flúor: casi siempre es el envase con el líquido rojo que vemos en los consultorios odontológicos.
2. Barniz de flúor: casi siempre es un sobre pequeño. Este es más eficiente para detener las caries activas que se encuentran en una etapa temprana.

*Aplicación de barniz de flúor en odontopediatría*
Recuerda que estos siempre deben ser aplicados por un odontopediatra según el tiempo que determine dependiendo de cada caso.
También existen otras presentaciones de flúor como los enjuagues bucales, que deben ser usados únicamente bajo prescripción de un odontopediatra.

*Flúor en gel. Barniz de flúor. Enjuague de flúor*
Otra fuente de flúor importante es la crema dental, cuya concentración ideal para proteger los dientes de la caries debe ser entre 1.000 ppm y 1.100 ppm.
¿Es segura su aplicación?
Sí, es segura. Se usa una pequeña cantidad y tu hijo (a) no ingiere casi nada; incluso puede aplicarse en bebés desde el nacimiento de los primeros dientes.
¿Cómo se aplica?
Es un procedimiento totalmente indoloro, que consiste en aplicar con un pincel, algodón o gasa el flúor directamente en los dientes de tu hijo (a).
¿Cada cuánto se aplica?
Se debe aplicar cada 3 o 6 meses, es decir entre 2 y 4 veces en el año. Cada 3 meses si hay alto riesgo de caries, cada 6 si hay bajo riesgo de caries; este nivel de riesgo es determinado por el odontopediatra.
¿Y después de su aplicación?
1. Tu hijo (a) no debe comer ni beber ningún alimento hasta una hora después de finalizada la consulta.
2. El día de la aplicación no debes cepillar sus dientes hasta el día siguiente (barniz de flúor).
3. Evitar el consumo de lácteos durante el día.
4. No brindar a tu hijo (a) en el día dulces pegajosos o gomas de mascar.
¿Qué riesgos tiene?
Si las aplicaciones de flúor no las realiza un odontopediatra, el uso indiscriminado de este mineral, puede causar problemas gastrointestinales, vómito, diarrea e incluso intoxicación.
¿Su aplicación en consulta causa fluorosis?
No, la fluorosis es causada por la ingesta sistemática de flúor, no por las aplicaciones realizadas en consulta.
Existe un alto riesgo de que los dientes permanentes de tu hijo (a) desarrollen esta condición cuando el tamaño de la porción de crema dental con flúor que pones en el cepillo es mayor a la recomendada para su edad.
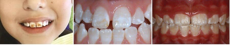
La fluorosis es una anomalía en la formación del esmalte, causando unas manchas blancas y marrones en los dientes como se muestra continuación:

*Manchas de fluorosis causadas por la ingesta excesiva de flúor*
Si a tu hijo (a) nunca le han aplicado flúor o si ya pasó un buen tiempo desde su última aplicación, haz clic aquí para agendar una cita con uno de nuestros especialistas.
