El proceso de recambio dental de los dientes permanentes por los dientes de leche inicia generalmente cuando los (as) niños (as) cumplen 6 años de edad, tal como se muestra a continuación:

*Proceso de dentición dientes de leche y permanentes*
Es completamente normal que tengas dudas durante todo este proceso pues aún existen muchas creencias en torno al tema de los dientes, ¿Es malo que los dientes permanentes sean tan grandes?, ¿Si los dientes permanentes son más amarillos que los de leche entonces están mal?, ¿Es un problema que salga un diente permanente sin caerse el de leche?, ¿Es malo que los dientes no tengan los bordes derechos sino en forma de montañitas?

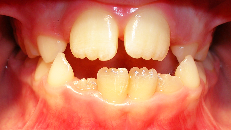
*Esto es lo que llamamos mamelones dentales. Foto tomada de www.juanbalboa.com*
¿Qué son los mamelones dentales?
Son protuberancias de esmalte y dentina (diente), que aparecen únicamente en los dientes permanentes y que son visibles una vez estos dientes erupcionan en la boca de tu hijo (a).
¿Qué hacer si tu hijo (a) tiene mamelones dentales?
Si bien los mamelones dentales son muy comunes y no tienen ninguna implicación clínica de forma directa, es sumamente importante prestar especial atención si tu hijo (a) los tiene, pues en medio de los surcos pueden llegar a presentarse fracturas, además de acumularse placa bacteriana, aumentar el riesgo de presentar caries dental y pigmentación.

*Fractura dental desde los mamelones. Foto tomada de www.fracturasdentalesblogspot.com*
Sin embargo estos pueden desgastarse con el paso del tiempo gracias al cepillado dental, la masticación y el contacto natural que se da entre los dientes, hasta que desaparecen y los bordes quedan rectos.
¿Cuándo desaparecen?
No hay un tiempo exacto en que el desaparezcan los mamelones, pues no todos los niños (as) tienen estas protuberancias tan marcadas, además el tipo de mordida también juega un papel importante en el desgaste de los mismos.
¿Qué hacer si los mamelones no desaparecen?
Si no desaparecen, se puede deber a que tu hijo (a) tiene problemas de mordida y los dientes superiores e inferiores no se tocan entre sí como deberían, lo que generaría que los mamelones no se desgasten y por ende, no desaparezcan.
¿La rutina de higiene oral es la misma?
Sí. Recuerda que para realizar una correcta higiene oral a tu hijo (a) debes usar crema dental con flúor (mínimo 1.100 partes por millón de flúor), usar seda dental desde el primer o segundo año de vida aún cuando sus dientes de leche no se junten entre sí, y cepillar sus dientes mínimo 2 veces al día.
Si tu hijo (a) tiene mamelones dentales y quieres saber más o deseas una consulta con una de nuestras especialistas, haz clic aquí para solicitar una cita.
