Como lo hemos mencionado anteriormente, la caries dental es la enfermedad dental más común en niños en el mundo; el mejor aliado para prevenirla es tener una buena higiene oral, usando la crema dental y cepillo de dientes adecuado y la seda dental o porta sedas (flosser)
La caries dental ocurre cuando las bacterias presentes en la placa depositada en los dientes producen ácidos que destruyen su tejido. Este deterioro está altamente influenciado por varios factores; el estilo de vida, hábitos alimenticios y de higiene oral.
¿Qué es la caries interproximal?
La caries interproximal o interdental es la caries que se desarrolla en los espacios que hay entre los dientes, donde se acumulan restos de comida y placa bacteriana que el cepillo dental no alcanza a remover, pero sí la seda dental.

El no usar seda dental en la rutina de higiene de tu hijo(a), lo hace más propenso a sufrir este tipo de caries dental.
Características de la caries interdental
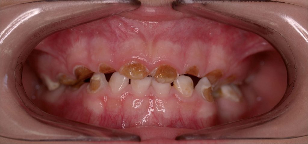
- Como se desarrolla en el espacio entre dos dientes, este tipo de caries normalmente afecta los dos dientes como se muestra a continuación:

2. Su proceso destructivo suele ser más acelerado pues estas se ubican en la base del diente, donde la estructura dental es menos fuerte que en la superficie con la que masticamos los alimentos.
3. Los niños que tengan apiñamiento dental y quienes llevan aparatos fijos para la corrección de problemas de mordida son los más propensos a sufrir la caries interdental.
Tratamiento
Como toda caries dental, la caries interdental es una enfermedad crónica (empeora con el tiempo), que, de no ser tratada a tiempo, puede llegar al nervio del diente, generar una infección y causar un absceso dental que deberá ser tratado con una endodoncia o con una extracción de un diente de leche.
¿Cómo prevenirla?
Para prevenir la caries interproximal lo más importante es:
- Tener una buena higiene oral en casa. *Sabemos que instaurar la rutina de cepillado de dientes en casa a veces puede ser algo complejo, por eso te invitamos a innovar e involucrarte en este proceso.
- Usar la crema de dientes adecuada.
- Usar la seda dental o portaseda (flosser). *Este es el punto más importante para evitar este tipo de caries, pues con el uso de la seda dental se remueven los restos de comida acumulados que generan la caries dental, que el cepillo de dientes no es capaz de remover.
- Visitar periódicamente al odontopediatra.
Si deseas agendar una cita con uno de nuestros especialistas haz clic aquí.
