La caries de infancia temprana es un tipo de caries que puede afectar a los niños (as) desde los 6 meses de vida hasta los 4 o 5 años, edad en la que generalmente comienza el proceso de recambio dental.
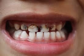
Esta se caracteriza por provocar un proceso destructivo rápido de los dientes (incisivos superiores inicialmente), pues la capa de esmalte dental de los dientes de leche es mucho más delgada y débil que la de los dientes permanentes, además anatómicamente son mucho más pequeños por lo que la caries llega con mayor rapidez al nervio, aumentando así las posibilidades de formar un absceso dental.
*Caries de infancia temprana en estado avanzado
Las bacterias se alimentan de los azúcares que quedan en los dientes y encías, generando así un ácido que desmineraliza los dientes hasta acabarlos por completo.
¿Qué causa la caries de infancia temprana?
1. Alta y frecuente exposición de los dientes a bebidas y alimentos azucarados como, cholisto, milo, aguapanela, gaseosas, zucaritas, etc.
2. Humedecer el chupo con miel, azúcar o jarabe de maíz.
3. No cepillar los dientes después del último tetero en la noche o después de alimentarlo.
4. Utilizar una crema dental sin flúor o con una cantidad menor a la recomendada que es entre 1.000 y 1.100 partes por millón de flúor (ppm).
¿Y cómo se genera?
Los residuos de azúcar se fijan alrededor de los dientes y las encías sirviendo de alimento para las bacterias que generan la caries dental.
Al dormir la boca saliva menos, el movimiento de la lengua, las mejillas y labios es menor por lo que la boca queda muy vulnerable a la exposición de las bacterias, por eso es fundamental el cepillado nocturno para evitar que los residuos de alimentos estén en contacto durante muchas horas con los dientes.
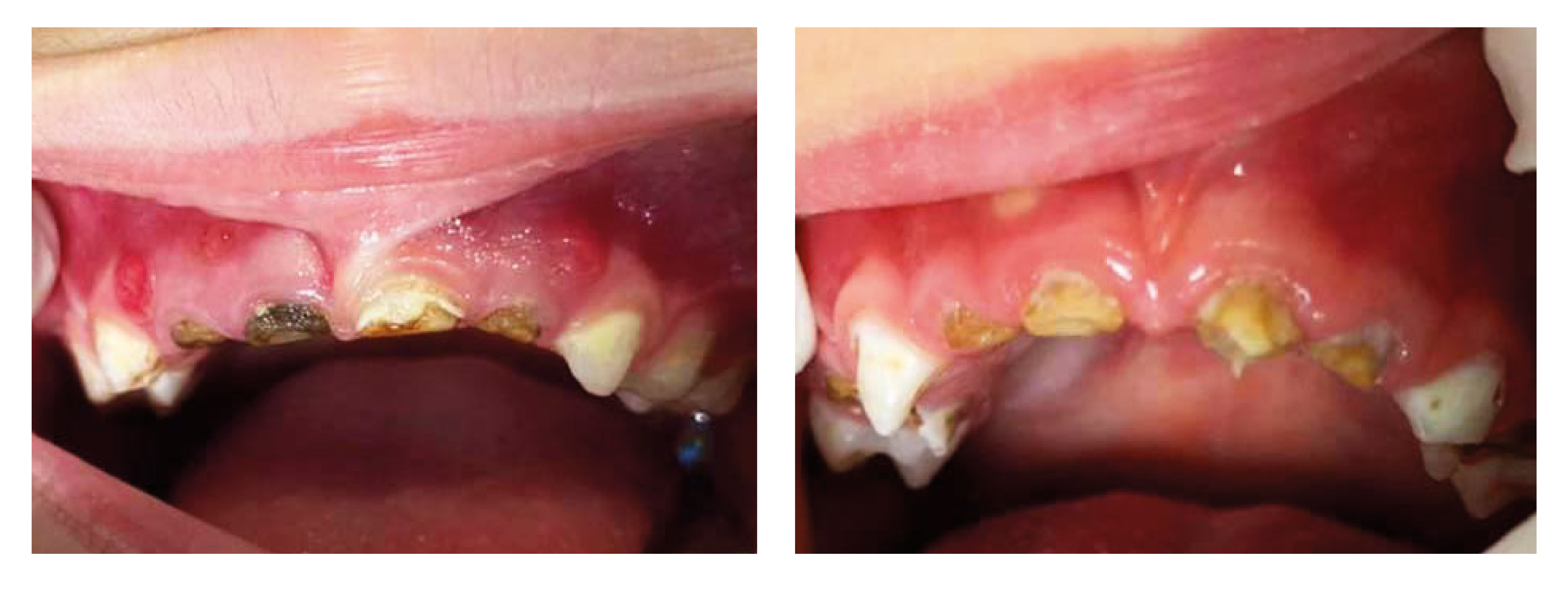
La primera manifestación de la caries de infancia temprana es una mancha blanca en forma de media luna o semicírculo en la parte superior del diente cerca a la encía, pronto la mancha cambiará a un color amarillo claro o negro y comenzará a extenderse hacia los lados y hacia abajo como se muestra a continuación:

*Caries de infancia temprana en su etapa inicial, intermedia y en estado avanzado
¿Cómo prevenirla?
La aparición de la caries de infancia temprana puede prevenirse con una correcta higiene bucal y tendiendo en cuenta las siguientes recomendaciones:
1. Controla la ingesta de bebidas y alimentos procesados y ultraprocesados con altos contenidos de azúcares.
2. No endulces su chupo con miel, azúcar o jarabe de maíz.
3. Cepilla siempre los dientes de tu hijo en la noche después de tomar su tetero o cada vez que sea alimentado. Si tu hijo (a) está acostumbrado a dormirse con su tetero para mejorar esta conducta puedes ir mezclando progresivamente su contenido con agua, hasta que se acostumbre a tomar solo agua. El agua no daña los dientes ni incentiva la generación de caries.
4. Usa una crema dental que contenga entre 1.000 y 1.100 ppm de flúor pues este mineral es el único capaz de proteger los dientes de tu hijo (a) contra la caries dental.
Además de tener en cuenta estos consejos se recomienda que tu hijo (a) tenga su primera revisión odontológica desde antes de los 12 meses de vida para revisar no solo el estado de sus dientes, sino también la evolución de su proceso de dentición, y darte todas las recomendaciones oportunas para mantener su salud bucal.
Si no se trata a tiempo las consecuencias de la caries pueden llevar a la pérdida temprana de los dientes de leche y desencadenar en problemas mayores a futuro.
Si deseas ampliar esta información en consulta o sospechas que tu hijo (a) pueda tener caries dental, haz clic aquí para solicitar una cita con nuestros especialistas.
