¿Por qué a mi Hijo le Salen Llagas en la Boca?

Todos en algún momento hemos presentado este tipo de lesiones, que en su mayoría, son  molestas y dolorosas, pero ¿Y cuando aparecen en un niño (a)?

Las llagas en niños (as) no tienen por qué ser peligrosas en sí mismas, pero sí pueden serlo sus consecuencias; cuando estas empiezan a interferir en su proceso de alimentación, en la pronunciación de ciertas palabras o en la realización correcta de su rutina de higiene oral, puede acarrear problemas secundarios de consecuencias más graves. De ahí la importancia de tratarlas.

¿Qué son?

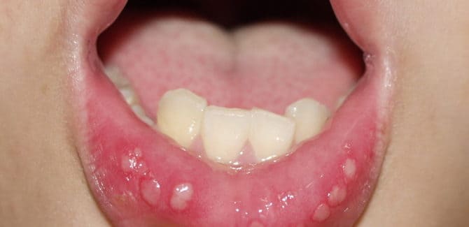
La llagas o úlceras orales son lesiones inflamatorias que afectan la mucosa de la boca produciendo heridas dolorosas, generalmente en la parte interna de la mejilla, en los labios, el paladar, lengua o encías.

Estas suelen variar de color de acuerdo al momento en el que se encuentren; rojo o amarillo cuando la infección está en su etapa más intensa, y color blanco cuando la herida ha comenzado a curarse.

*Lugares más comunes en donde salen las llagas. Tomada de www.medicoplus.com

¿Por qué se producen?

Existen múltiples causas que pueden dar lugar a su aparición, ya que en algunos casos son una consecuencia directa de procesos infecciosos, entre los más frecuentes están:

1. Traumatismos: como consecuencia de un mordisco, un golpe tras una caída, cepillado brusco de los dientes, tratamientos de aparatología, entre otros.

2. Infecciones víricas: su aparición puede aumentar sobre todo durante la primera infancia cuando tu hijo (a) a través de su boca, comienza a explorar el mundo lo o la rodea. En este caso pueden llegar a presentarse llagas múltiples que se extienden por la mucosa de la boca y la garganta acompañadas de fiebre.

*Exploración. Foto tomada de www.tamtam.es

3. Falta de vitaminas y minerales: siendo la deficiencia de hierro, vitamina B12 y ácido fólico la que más puede llegar a afectar en este caso.

4. Frío: algunos niños y niñas son más sensibles a las bajas temperaturas del clima, sobre todo durante la época de invierno.

5. Quemaduras: por el consumo de alimentos excesivamente calientes.

6. Alergias: generalmente cuando son de tipo alimentaria

Si tu hijo (a) presenta episodios únicos o esporádicos de llagas orales seguramente se deba a una infección vírica.

¿Cómo se curan?

Generalmente las llagas no requieren tratamiento, pues el mismo organismo de tu hijo (a) se encarga de hacerlas desaparecer, sin embargo, cuando estas duran demasiado puedes intentar con:

* Medicamentos: cuando se ha presentado fiebre el pediatra puede recomendar medicamentos para tratar la infección desde la raíz.

* Tratamiento tópico: si las llagas se encuentran en una zona localizada existen algunos productos anestésicos como geles, pomadas, cremas o enjuagues que pueden recomendarte el pediatra que actúan directamente sobre la lesión.

* Alimentación blanda: es recomendable seguir una dieta blanda sin alimentos ácidos, muy dulces o muy picantes de manera que se evite el dolor intenso en la zona.

Foto tomada de www.drleopoldogalindo.com

¿Pueden prevenirse?

Si bien es difícil que controles la aparición de llagas en la boca de tu hijo (a), estas recomendaciones podrán ayudarte

* Dieta variada rica en frutas y verduras.

* Consumo de alimentos ricos en vitamina C y omega 3.

* Evita comidas excesivamente calientes.

* Mantén la boca de tu hijo (a) limpia; cepillado y uso de la seda dental, además de visitas frecuentes al odontopediatra.

Si deseas agendar una cita con alguno de nuestros especialistas, haz clic aquí.