El uso del chupo ha sido objeto de controversias en la comunidad médica durante mucho tiempo, debido a que hay profesionales que destacan las consecuencias negativas de su uso; hay otros que lo defienden porque previene el síndrome de la muerte súbita del bebe.
Algunos bebés nacen con un reflejo natural de succión, el cual les permite alimentarse cuando están lactando y les causa placer, calma y consuelo; el chupete es un elemento artificial de goma creado para simular esta sensación de relajación que sienten al succionar el pecho de la madre.
Es una decisión personal de los padres si su hijo usa o no el chupo; desde nuestro campo no prohibimos el uso del chupo, pero si debemos dar pautas claras de cuál es el correcto uso de este elemento para evitar que su exceso o mal uso, afecte la salud general y oral del bebe.
A continuación, indicamos cuáles son las buenas prácticas del uso del chupete:
- No debe usarse luego de los 2 años de edad del bebé, pues puede interferir en el correcto desarrollo del paladar y los dientes y generar maloclusiones, como se indica en nuestro artículo, ¿Es Malo que mi Hijo Chupe Dedo?; también puede retrasar el desarrollo del habla.
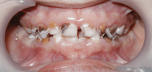
- No endulzar el chupo con miel, jarabe o azucares porque puede causar caries del biberón o rampante, tal como se explica en nuestro artículo La Caries del Biberón: ¿Qué es y Cómo Prevenirla?


- No usar el mismo chupo por más de dos meses por higiene y seguridad del bebé.
- Hacer una adecuada higiene al chupo, esterilizándolo en agua caliente luego de cada uso.
- No usar el chupo antes del primer mes o mes y medio de vida del bebe, es decir, cuando la lactancia materna ya esté instaurada; si se usa antes el chupo, puede causar problemas en la lactancia.
- Usar el chupo solo cuando sea necesario, no todo el día como si fuera un accesorio indispensable para la tranquilidad de tu bebé; esto genera dependencia y hace mucho más difícil dejar el hábito.
- Usar un chupo cuya tetina tenga una forma similar al pezón de la madre.
En este video encontrarás una explicación de los tipos de chupos que existen y cuales son sus ventajas y desventajas.
Si aún tienes dudas sobre el uso del chupo o chupete, tu hijo sufrió maloclusiones por el exceso de uso o si es muy difícil para él dejar el hábito, haz clic aquí y pide una cita de valoración con nuestros especialistas.
MENÚ PRINCIPAL
CONTÁCTANOS
-
SEDE MEDELLÍN: diag. 75B N°2A- 80 -Torre Médica Las Américas Consultorio 314,
SEDE BELLO: Carrera 50 # 38 - 201 - C.C Parque Fabricato - Local 99302 - (+57) 314 853 91 00
- L-V: 8:00 - 6:00 / S: 8:00 - 12:00
